[내과] 일주일에 서너 번 회식 28세 은행원, 뇌는 이미 60대였다
페이지 정보
작성자 장미 댓글 0건 조회 971회 작성일 15-06-18 09:00
본문
[술에 너그러운 문화, 범죄 키우는 한국] (24) 한 번 마시면 소주 한 병 반, 어느날부턴가 '필름' 자주 끊겨… 건강검진 하니 '알코올성 치매'
부산시에서 은행원으로 근무하는 김인성(가명ㆍ당시 28세)씨는 우리 주변에서 비교적 흔히 보는 직장인이었다.
부산시에서 은행원으로 근무하는 김인성(가명ㆍ당시 28세)씨는 우리 주변에서 비교적 흔히 보는 직장인이었다.
일주일에 3~4번 회식 자리에 참여하여 한 번에 소주 한 병 반 정도 마셨다. 사람과 술자리를 좋아한 김씨는 나이도 젊고 고혈압이나 당뇨병 등 만성질환도 없어 그 정도 음주라면 별문제가 없을 줄 알았다. 은행 영업 업무를 위해서나 직장 동료·상사들과의 관계 유지를 위해서도 '음주 회식'은 어쩔 수 없다고 여겼다. 주변에서도 다들 술을 그 정도쯤은 마셨기 때문이다.

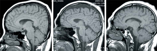
↑ [조선일보]정상적인 30대 중반 남성의 뇌(사진 왼쪽), 10년간 술마신 28세 남성… 정상 뇌보다 20% 수축(사진 가운데), 노화로 수축된 65세 남성의 뇌(사진 오른쪽).
그러던 어느 날 가끔 술자리에 대한 기억이 나지 않는 일이 생겼다. 갈수록 그런 증상이 심해져서 전날 누구를 만났는지, 무슨 일을 했는지도 한참을 고민해야 했다. 처음에는 건망증이려니 생각했다. 업무상 스트레스려니 하고 그냥 넘어갔다. 그러다 지난 2009년 3월 건강검진을 하기 위해 병원을 찾은 김씨는 뜻밖의 결과를 듣고 깜짝 놀라지 않을 수 없었다.
일종의 '알코올성 치매'라는 판정을 받은 것이다. 담당 의사가 김씨의 뇌 MRI(자기공명영상) 사진과 평범한 30대 정상인의 뇌 MRI 사진을 동시에 모니터에 띄워놓고는, "당신의 뇌는 현재 70대 노인에게서나 발견되는 뇌 위축 상태"라며 "지속적이고 과도한 음주로 인해 단기 기억상실증이 발생한 것으로 보인다"고 말했다. 뇌 위축증은 뇌의 전반적인 크기가 감소하고 뇌 표면이 쭈글쭈글해진 상태를 말한다. 노화가 심하게 진행된 고령자의 뇌 상태다. 김씨의 뇌 모양은 의사가 보여준 65세 남성의 노화된 뇌보다 위축이 더 심하게 진행돼 있었다. 복부 초음파 검사에서 지방간이, 위내시경에서는 위염이 추가로 발견됐다. 김씨는 고등학교 졸업을 하면서 술을 접했고, 그와 함께 지난 10년간 하루 담배 1갑을 피워 왔다.
김씨처럼 음주로 인한 뇌 위축은 음주량이 알코올 중독 수준으로 많지 않은 경우에도 충분히 일어날 수 있다는 게 의료진의 설명이다. 주치의인 고신대 의대 가정의학과 최종순 교수는 "김씨는 하루 평균 약 42㎎(소주 0.75병)의 알코올을 섭취하는 수준(중등도)의 음주가였다"며 "알코올을 잘 받아들이지 못하는 개인적 체질에 따라서는 경미하거나 중등도 용량의 알코올 만성 섭취에도 뇌 위축이 초래될 수 있다"고 말했다. 최 교수팀이 2010년 가정의학회지에 발표한 '10년간 과음한 20대 남성에서의 심한 뇌 위축' 분석 논문을 보면, 알코올에 의한 뇌 위축은 평소 소비해 온 알코올의 양과 비례한다. 지난 10년간의 알코올 음주로 누적된 결과라는 것이다.
검진 결과를 들은 김씨는 충격을 받고, 술을 끊기로 했다. 꼭 가야 할 회식 자리에서는 맥주 한 잔 정도로 버텼다. 정기적으로 병원에 다니며 비타민B가 함유된 약을 복용하기도 했다. 비타민B는 음주로 인한 뇌손상을 회복하는 데 도움을 준다.
김씨는 이후 술을 끊는 데 성공했다. 2년 뒤 촬영한 뇌 MRI에서는 김씨의 뇌 모양이 거의 정상으로 돌아왔다. 기억력 감퇴 증상도 현저히 호전됐다.
최 교수는 "김씨의 경우는 아직 젊었고 중간에 술을 끊었기 때문에 뇌기능이 잘 회복될 수 있었다"며 "음주가 만성적이고 습관적이면, 이른 나이에 뇌 위축이 발생할 수 있다는 점을 간과해서는 안 된다"고 말했다.
조선일보
댓글목록
등록된 댓글이 없습니다.